肋骨骨折的治疗方法 如对您有帮助,可购买打赏,谢谢 肋骨骨折的治疗方法 导语:肋骨骨折的治疗方法有很多,我们一般都会采取后敷料固定包 扎法,但是到底为什么会让我们的肋骨骨折呢? 固定胸廓方法有: ①厚敷料固定包扎:适用于软化胸壁范围概述 肋骨共12对,平分在胸部两侧,前与胸骨、后与胸椎相连,构成一个完整的脚廓。 胸部损伤时,无论是闭合性损伤或开放性损伤,肋骨骨折最为常见,约占胸廓骨折的90%。 在儿童,肋骨富有弹性,不易折断,而在成人,尤其是老年人,肋骨弹性减弱,容易骨折。43开放性肋骨骨折病人的护理 431骨折处彻底清创,分层缝合后包扎固定。多根多处肋骨骨折者,清创后用不锈钢丝做内固定术。 432胸膜穿破者,行胸膜腔闭式引流术。 433应用抗生素,以防感染。 折时,伤侧胸壁可有反常呼吸运动、皮下气肿。
肋骨骨折包紮法 Youtube
肋骨骨折包扎
肋骨骨折包扎-肋骨骨折包扎 图5 肋骨骨折环形弹力包扎 图片尺寸230x150;尾骨骨折 图自:猫研所动物医院 肋骨骨折 猫的胸腔结构让猫咪更少出现肋骨骨折。 研究显示:车祸导致的骨折中猫咪只有16%出现肋骨骨折,但患有心脏、肺部疾病、肿瘤的老年猫咪容易出现非创伤性肋骨骨折。 q3:怎么判断猫咪是否骨折?



肋骨骨折 信息阅读欣赏 信息村 K0w0m Com
肋骨骨折包扎图 (第1页) 图片集简介: 肋骨骨折包扎图 (第1页) ,该页主题为肋骨骨折包扎图的图片集,内容包含有肋骨骨折引起疼痛吃什么药手部骨折脱位肋骨骨折的救护措施图片发生车祸对方全责肋骨骨折保险能赔偿多少肋骨骨折要怎么办因工伤致左肋骨5,7,9 一、a1 1、闭合性多根多处肋骨骨折,若骨折范围较小,治疗时采用哪种方法纠正反常呼吸最合适 a、牵引固定法 b、压力包扎下载 肋骨骨折的现场固定 611 去下载 下载需先安装客户端 客户端特权 3倍流畅播放 免费蓝光 极速下载 icon/18px/phonegrey 手机看 肋骨骨折的现场固定 611 当前播放至 0000 扫一扫 手机继续看
严重多根多处肋骨骨折的紧急处理是()。 A.气管插管辅助呼吸B.手术切开内固定C.加压包扎固定软化的_开卷宝 您可能感兴趣的试题 多根多处肋骨骨折发生胸壁软化后,急救方法是A止痛 B吸氧 C肋 多根多处肋骨骨折发生胸壁软化后,急救方法是 A 春节安全提醒:各类骨折如何包扎处理? 1031 来源 搜狐母婴 欢乐的春节就要到了,超级育儿家还是给爸爸妈妈一些关于突然骨折的安全提醒,一旦宝宝遇到意外,爸爸妈妈可以第一时间做出正确的判断和处理,为宝宝生命健康争取时间。肋骨骨折多可在2~4周内自行愈合,治疗中也不像对四肢骨折那样强调对合断端。单纯性肋骨骨折本身并不致命。 肋骨骨折中医治疗 当前疾病暂无相关疗法。 (以上提供资料及其内容仅供参考,详细需要咨
肋骨断了怎么治疗需要多少时间 39问医生 网 —— 肋骨断了,一般使用胸带固定,进行保守治疗胸带固定一个月左右,就可以去除了在三个月左右,通常会恢复正常如果肋骨骨折不稳定,影响胸廓呼吸活动,需要进行切开复位钢板内固定手术治疗肋骨骨折多伴有胸腔积液,如果患者的积液积气较多,需要肋骨骨折固定相关问答 问: 肋骨骨折固定时间? 答: 你好,目前的症状表现,考虑基本在5060天左右为好的。 如果有什么需要进一步咨询的话,最好是运用本网站专用聊天工具eq联系我,我会耐心解答 多发性肋骨骨折病人的护理 外三科 刘念 一、定义 多发性肋骨骨折指多根肋骨多处发生骨折,病情 急重,多伴有较严重的并发症 ;肋骨断端可刺破胸 膜、肺、肋间动脉或胸廓内动脉,血液、气体流 入胸腔而造成血胸、气胸或血气胸,如治疗、急 救不及时,可危及病人的生命。



肋骨骨折绷带包扎图片 万图壁纸网



肋骨骨折包扎图片 搜狗图片搜索
步骤与方法 条三角巾绑在一起,中间用软垫衬垫。 小手挂和锁骨骨折用小手挂加宽带临时固定 备注:锁骨骨折、肋骨骨折在现场需要进行临时固定, 可采用小手挂加一条宽带的方法。 大腿骨折的临时固定 头部帽式包扎 适用于头皮外伤时进行止血包扎。 肋骨骨折的护理查房ppt,肋骨骨折的护理查房 高慧 18/9/5 1、 概述 2、 病理生理 3、 处理原则 4、 护理措施 1、 概述 肋骨骨折二,闭合性多根多处肋骨骨折 图片尺寸567x518 (2)肋骨骨折固定方法同胸部外伤包扎 图片尺寸480x319;



手掌骨折包紮法 Youtube



肋骨包扎图片 搜狗图片搜索



肋骨骨折胸带固定方法 万图壁纸网



肋骨骨折病人包扎图片 搜狗图片搜索



肋骨骨折的治疗原则 玖玖骨科 骨科医疗精准对接平台



肋骨骨折包扎人物图片 表情大全



肋骨骨折包扎 万图壁纸网



輕忽肋骨骨折致胸悶呼吸困難純鈦骨板固定術有助復原 亞洲大學附屬醫院



肋骨骨折不能吃什么 肋骨骨折的注意事项



中医药治疗肋骨骨折 医案心得 手机中医中药网



肋骨骨折 医学百科网



肋骨骨折固定 万图壁纸网



咳嗽 打噴嚏 彎腰 都痛到厭世 肋骨骨折會自己復原嗎 健康2 0



肋骨骨折绷带包扎图片 表情大全



肋骨骨折 信息阅读欣赏 信息村 K0w0m Com



肋骨骨折 人體的肋骨共有十二對 左右對稱 其功能在於保護胸腔內部的肺臟 心臟等器官 肋骨骨折最常發生在第五到第九根 第一 二根肋骨因受肩膀保護 不易骨折 第十一 十二根肋骨因透過軟骨連在胸骨上 活動性較大 不易骨折 肋骨骨折常見於



悟空问答 右侧第七八根肋骨骨折怎么办 骨伤的杨张张扬的回答 0赞



肋骨骨折绷带包扎图片 表情大全



肋骨骨折的治疗原则 玖玖骨科 骨科医疗精准对接平台



肋骨骨折 肋骨共12對 平分在胸部兩側 前與胸骨 後與胸椎相連 構成一個 百科知識中文網



肋骨骨折x光片图片第1页 驾考预约大全



大腿骨折包紮法 Youtube



创伤止血 急救技术 包扎关节处缠人字形 急救专刊



肋骨骨折 信息阅读欣赏 信息村 K0w0m Com



淮南市红十字会



如何治疗肋骨骨折 6 步骤



肋骨骨折图片 肋骨骨折素材 肋骨骨折插画 摄图新视界



医用肋骨骨折固定带开胸腹术后包扎固定弹力绷带肋骨带护胸带绑带



春节安全提醒 各类骨折如何包扎处理 母婴频道 手机搜狐



非複雜性肋骨折on Vimeo



如何治疗肋骨骨折 6 步骤



肋骨骨折摄影图 肋骨骨折图片大全 肋骨骨折照片 摄图新视界



多发肋骨骨折和胸骨骨折合并连枷胸的手术治疗方法



肋骨骨折图片 肋骨骨折素材 肋骨骨折高清图片 摄图网图片下载



胸部7根肋骨骨折 图片欣赏中心 急不急图文 Jpjww Com



鎖骨骨折包紮法 Youtube



生命急救课 肋骨骨折的急救 Youtube



肋骨骨折固定夹板 肋骨骨折固定夹板图片 价格 品牌 评价和肋骨骨折固定夹板销量排行榜



肋骨骨折的护理ppt 牛图文



病例分享 一例犬肋骨骨折并发肺出血和纵膈积气的诊治 雪花新闻



悟空问答 右侧第七八根肋骨骨折怎么办 骨伤的杨张张扬的回答 0赞



肋骨骨折x光片图片第1页 驾考预约大全



肋骨骨折绷带包扎图片 肋骨骨折的绷带图片 肋骨固定带使用图解 大山谷图库 手机版



肋骨骨折病例单照片 文章阅读中心 急不急图文 Jpjww Com



中医药治疗肋骨骨折 医案心得 手机中医中药网



会呼吸的痛 医生为你全方位解读 每日头条



肋骨骨折 疾病百科 智慧妈咪网



肋骨骨折绷带包扎图片 表情大全



肋骨骨折 信息阅读欣赏 信息村 K0w0m Com



肋骨骨折包扎 万图壁纸网



胸腔束缚带 新人首单立减十元 21年8月 淘宝海外



肋骨骨折处理原则 图片欣赏中心 急不急图文 Jpjww Com



肋骨骨折



肋骨骨折 A 医学百科



伤残等级鉴定中常见的肋骨骨折 广东衡正司法鉴定所官网



肋骨骨折摄影图 肋骨骨折图片大全 肋骨骨折照片 摄图新视界



肋骨骨折绷带包扎图片 万图壁纸网



肋骨骨折病人包扎图片 搜狗图片搜索



肋骨骨折绷带包扎图片 表情大全



肋骨骨折包紮法 Youtube



肋骨骨折



手部及肋骨骨折的救护措施 常见损伤救护 急救手册 生活百科



肋骨斷不理會婦靠鼻導管呼吸 即時新聞 自由健康網



1



肋骨固定带价格 肋骨固定带图片 星期三



肋骨骨折包扎人物图片 表情大全



肋骨骨折处理原则 图片欣赏中心 急不急图文 Jpjww Com



肋骨骨折怎么愈合 医 21



肋骨骨折的包扎方法 有来医生



罗氏正骨肋骨骨折的治疗 雪花新闻



医用肋骨骨折固定带开胸腹术后包扎固定弹力绷带肋骨带护胸带绑带



肋骨骨折的包扎 有来医生



前臂骨折包紮法 Youtube



肋骨骨折 信息阅读欣赏 信息村 K0w0m Com



如何治疗肋骨骨折 6 步骤



古时候肋骨断了会怎样治疗呢



肋骨骨折 损伤 中毒 Msd诊疗手册专业版



肋骨骨折绷带包扎图片 万图壁纸网



肋骨骨折图片 肋骨骨折素材 肋骨骨折插画 摄图新视界



肋骨骨折包扎图片 搜狗图片搜索



广东海洋大学医院



肋骨骨折绷带包扎图片 表情大全



再谈肋骨骨折的治疗和常见误区



1



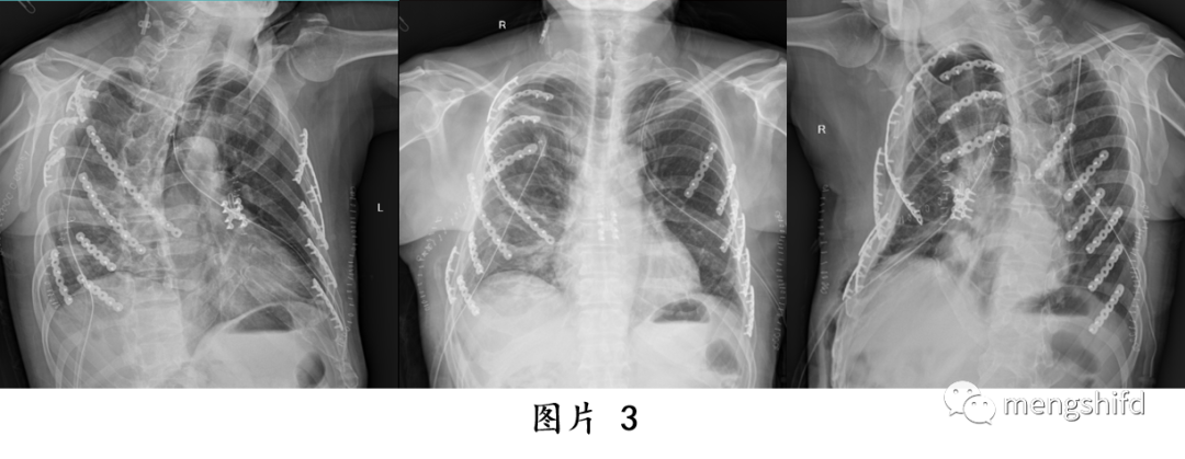
全省首例 华中阜外医院成功实施 胸腔镜下肋骨骨折切开复位内固定术 最新快讯 资讯动态 阜外华中心血管病医院



肋骨骨折的包扎方法 有来医生



病例分享 一例犬肋骨骨折并发肺出血和纵膈积气的诊治 雪花新闻



古时候肋骨断了会怎样治疗呢



医学知识 疾病库



施行肋骨骨折内固定术 大幅缩短患者住院日 快资讯



肋骨骨折固定 万图壁纸网



肋骨骨折绷带包扎图片 万图壁纸网



肋骨骨折病人包扎图片 搜狗图片搜索



肋骨骨折包扎图片 搜狗图片搜索



肋骨骨折病人包扎图片 搜狗图片搜索



肋骨骨折固定带胸部吊带夏季束缚脊椎薄款弹力钢板夹板鸡胸包扎弹



肋骨骨折包紮法 Youtube



手部及肋骨骨折的救护措施 常见损伤救护 急救手册 生活百科



骨折图片 骨折素材 骨折高清图片 摄图网图片下载



多发肋骨骨折和胸骨骨折合并连枷胸的手术治疗方法


0 件のコメント:
コメントを投稿